ここに記述するECE研究論文はWilliams博士が最新の研究結果をまとめたレポートです。当社SBSコーポレーションが日本のフェレットたちの感染防止ために、正しく情報を伝達すべく、Williams博士の承諾を得て、ここに翻訳・掲載しました。この翻訳文を転載掲載させていただくことを心よく承諾してくださった親愛なるWilliams博士に感謝いたします。SBSコーポレーション 丹羽





1993年3月以来、伝染性の強いウイルス性疾患が出現し、アメリカとカナダにいるフェレット(ヨーロッパケナガイタチ)に影響を与えています。著者は、それがアメリカ全土でECEが大規模に発生する前(1993年と1994年)に、陸軍の病理学研究所でこの疾患を研究する機会を持ちました。その疾患はフェレットの健康にとって重大な危険であると考えられるべきであり、著者は本疾患の原因と治療についてのかなりの情報を蓄積しました。その情報をここに紹介いたします。
ECE(Epizootic Catarrhal Enteritis)という名称は、80年代半ばにジョン・ゴーハム氏によって記述されたミンクの伝染病ECG(Epizootic
Catarrhal Gastritis「動物間流行性カタル性胃炎」)に非常に類似しているため、その名前がつけられました。その研究報告によると、ECE(Epizootic
Catarrhal Enteritis)はその疾患(ECG)によく似ています。フェレットの場合、炎症が胃ではなくて主に腸に見られています。動物間流行性(Epizootic)という用語は、施設中の全動物に急速に伝染して行くことを意味していす。カタル性(Catarrha)は「粘液」を含むことを意味し、罹患した動物の腸の粘液の過分泌し、粘液性の糞塊を生じさせることに言及しています。腸炎(Enteritis)とは腸の炎症を意味しています。
最近、マッチクイペル博士らによるパード大学での研究で、本疾患の病原体としてコルナウイルスを明確に確認されました。コロナウイルス粒子は、長年に渡って罹患したフェレットの腸と糞便中や、他の施設においてトランスミッション電子顕微鏡の写真上で確認されました。免疫組織化学的検査とポルメラーゼ鎖反応検査は、ECEに感染したフェレットの腸と糞便サンプル中に、コロナウイルス抗原を確認し、本診断を確認しました。しかし、現在までのところ、本ウイルスを分離し増殖させる研究は、十分すすんでいません。本ウイルスが実験室で分離され、増殖するまで、特別な診断検査とワクチンは本病原体に対して処方できていないのが現状です。
ECEは、一般家庭やフェレット救済施設(レスキュー)へ新入りフェレットを迎え入れた直後に、最も頻繁に発生(診断)しています。ほとんどの場合、すでに家庭で飼育されている古株のフェレットは、その新入りフェレットから感染させられて2,3日以内に本疾病を発症しています。(新しいフェレット自身が発症しなくてもおこりうることです。このような場合、新しいフェレットが飼育されていた場所がウイルスを放出していることを示唆しています。)新しいフェレットを導入後に、多数のフェレットが様々な段階の下痢を伴った臨床を所見した場合、ECEであると考えることは重要なことです。フェレットの接触時には、感染率は100%に近い数値です。しかし、きちんと治療処方されたフェレットの死亡率は5%未満です。
ECEの臨床的兆候には、嘔吐の初期症状(嘔吐物は水のように透き通っているのでしばしば飼い主に気づかれないが)があります。それはその後4−6時間以内に、大量の緑色嘔吐にかわります。また、急速に脱水状態に達するような激しい水のような下痢(緑色)が見られます。下痢は一般的に多量の粘液を含んでいます。そこから、本疾患がGreens(グリーンウイルス)と俗称されるようになりました。罹患したフェレットは脱水状態の為、食欲が無くなり、無気力になります。
臨床的兆候の重症度はフェレットの年齢と共に増強するのでしょうか? 生後6ヶ月未満のものは無症状であるかもしれません。成熟した動物にとっては、同時の問題がある場合には、非常に重度であるかもしれません。
臨床病理学的データは非特異的であり、主に脱水症状と飢餓性衰弱に関連しています。血液検査データでは、正常範囲内かそれに近いでしょう。窒素過剰症、高血糖症、アラニンアミノトランスフェラーゼとアルカリホスファターゼの増加は、罹患動物で見られます。肝臓酵素の上昇は一般に原発性肝臓疾患として誤診断されます。最高1000のSGPT値と200のSAP値が非摂食動物で肝臓細胞の流出の結果として見られるかもしれません。(一般的に、フェレットの原発性肝臓疾患はしばしばビリルビンの上昇値を伴っています。)
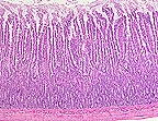
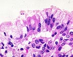
死亡動物からの組織の顕微鏡検査は、ウイルス性腸炎に一致しています。特に、繊毛先端に腸細胞の壊死があります。陰カは中等度から顕著に過形成性です。中等度から重度リンパ形質細胞の浸潤物と種々程度の繊毛萎縮、鈍化、融合、欠損がさらに長期の症例の腸に見られます。特徴的な腸の変化は感染後8ヶ月目に見られます。(原文ページの画像を参照ください)
罹患したフェレットの治療の基礎には、皮下及び静脈内液体投与(罹患動物は90ml/Ib/日を必要とするかもしれません)、二次性細菌感染症を防ぐ為に、経口抗生物質(アモキシリン10−20mg/Ib
1週間毎日2回)、刺激性の少ない食事が含まれています。ECEはウイルス感染症であり、アモキシリンは直接的には本疾患を治療しません。しかし、それは臨床像を複雑にする根源からの二次性細菌感染症を防ぎます。
フェレットの為に刺激性の少ない食事として多数の処方がありますが、著者の経験では、最も有益な食事はガーバー社のチキン味ベビーフードであり、アメリカ国内の一般的な食料品店で入手できます。室温より少し暖かくし、指で与えます。(注:一回か二回、ベビーフードを強制的に与えなければならないかもしれませんが、まもなくフェレットは素早くあなたの指からなめとるようになるでしょう)。あなたのフェレットがベビーフードを与えられている時、糞便量の顕著な減少に気づくでしょう。ベビーフードが炎症した腸全体で高率に消化される為に、これは正常なことです。そのほかの食事としてはダックスープやHill’s社の
A/D缶も推奨できます。(別ページの要約により追記)
抗痙攣薬(セントリン、ロモチル)や胃腸保護薬(ペプトビズモル、カオペクテート)は正常ネコ用量で用いられていて、孤立症例にはある程度の成功をおさめていますが、著者の経験では、非合併ECEで必要では無く、禁忌でさえあるかもしれません。約20%の感染動物は療法の30日後に、体重減量の持続と軟便を経験するかもしれません。これは腸の進行中のリンパ球炎症に因るものであり、腸の炎症部分の正常治癒を妨げます。これに対処する為、著者は2週間毎日1回0.5mg/Ibプレドニゾンの経口投与を勧めています。
治療後、ほとんどの飼い主さんはフェレットが適切に回復しているかどうかを、糞便の状態とその一貫性を見守ることでしょう。ECEの糞便は緑色で粘液性、軟性そして「粒餌状」と様々です。(「粒餌状」の便は、吸収不良が腸で生じる時に見られます。それら便の形状は
ECEの特異的なものでは無く、他の吸収不良でも見られるものでもあります。)回復しているフェレットの糞便は、日々のベースでこれらの全ての形状の間で様々であるかもしれません。時間の経過と共に一般的傾向(症状の変化)について観察することはもっと重要なことです。
しかし、ECEの最も危険な側面の一つは、このウイルスの長期発散時間です。罹患動物は感染後6ヶ月間ウイルスを発散させます。ウイルスが衣服や靴に付くと、ウイルス拡散防止の為にあなたが他のフェレットへ接触することもしてはいけません。感染したフェレットや感染しているかどうかわからない新しいフェレットを取り扱った人は、感染していないフェレットを触る前にシャワーを浴び、衣服を交換すべきです。
罹患フェレットの取り扱いにおける注意点ははっきりしています。本疾患は直接接触及び糞便と口の接触によって拡散することが最も多いのです。罹患動物は、なるべく別の部屋に隔離します。餌入れ、おもちゃ類、トイレは、本感染症を拡散させないためにも十分に配慮しなければなりません。罹患動物と非罹患動物間で共有されるべきではありません。トイレは少なくとも毎日毎に洗浄されるべきです。これらの物品の洗浄は1%ブリーチ溶液(漂白剤)で徹底的に殺菌洗浄します。
感染症を避ける最良の方法は、他の家庭のフェレットやフェレットがたくさんいる場所から来たフェレットと自分のフェレットをすぐに一緒にさせないことです。他の家庭から預かったフェレット、繁殖家やペットショップから購入したフェレット、救済施設から里子として受け入れたフェレットは一旦隔離し、少なくとも1週間下痢の兆候について調べるべきです。というのは、健康そうに見えるフェレットでも本疾患を伝染するかもしれないからです。フェレットショーなどで多数のフェレットが集まる時が、本疾患の拡散が最も生じやすいのです。
インターネット上にECEについての多数の未証明の説(デマ)があります。これは診断及び治療を間違わせる傾向にあり、最終的にフェレットとその所有者に損失を与えています。いくつかの根拠のないうわさには以下があります。どうぞお気をつけください。
これらはネット上で見られる誤った情報のいくつかです。恒常性治療と特別のECE食と共にフラギルとセファレシンなど広範囲の抗生物質を含む多くの治療(未証明ですが)があります。あなたの読むものに注意し、あなたの情報源が確かであるようにしてください。
Dr. Bruce Williams, DVM著
1998年12月作成掲載
SBSコーポレーション翻訳
1999年8月転載